我院骨科开展闭合复位磁力导航髓内针(微创手术)治疗股骨干骨折
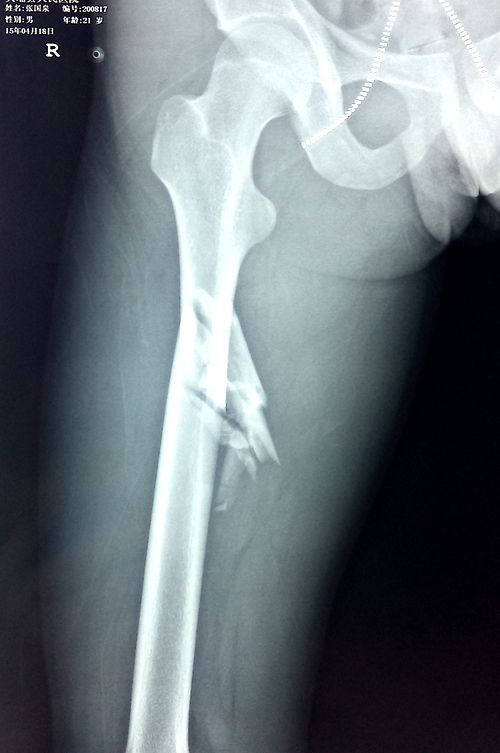
股骨股骨干骨折是基层医院骨科常见病,以往通常采取切开复位钉板系统内固定,此手术方法切口大,切口通常需要20cm-30cm,创伤大,出血多,患者功能恢复慢、差,容易出现断钉、断板,患者容易留下切口感染、关节僵硬等并发症。
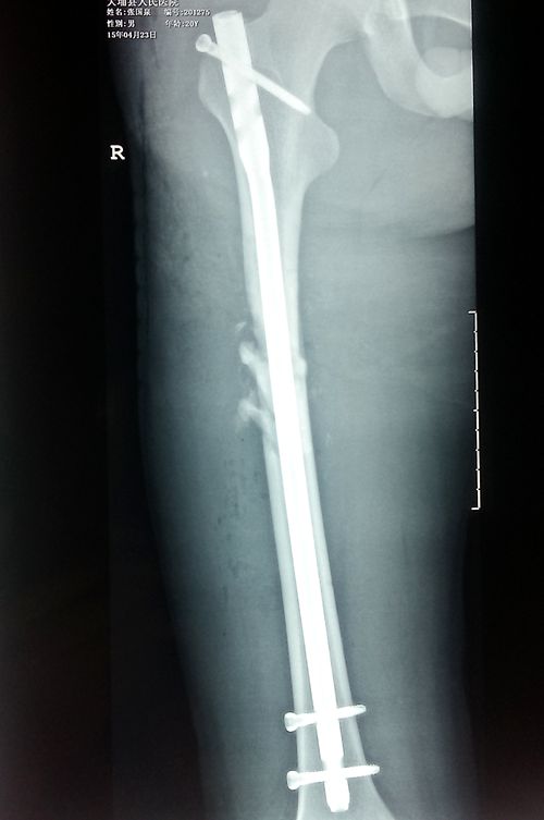
我院骨科是梅州市重点专科,院领导高度重视骨科发展,尤其在微创技术治疗骨折方面给于大力支持和投入,先后购进先进骨科微创手术所需相关器械及设备,人才培养方面采取派出去请进来的方式,选派专科医师到三甲医院进修学习骨科微创手术技术。最近在邓志荣科主任带领下成功开展闭合复位磁力导航髓内针(微创手术)治疗股骨干骨折。
闭合复位磁力导航髓内钉内固定治疗股骨干骨折优点:
1、磁力导航定位器应用于交锁髓内钉远端锁钉,操作简单,定位准确,大大提高了远端锁钉的成功率;
2、磁力导航下完成交锁髓内钉的远端锁钉,彻底摆脱对C臂机的依赖,减少了放射损伤,降低了医疗成本;
3、磁力导航定位器的改进减少了打孔数量,减轻了手术创伤,有利于创伤面的愈合;
4、磁力导航定位器不破坏骨骼的血运,骨折愈合快,固定牢靠,不容易断钉致内固定装置失效;
5、髓内钉能很大程度上降低股骨干的应力,能早期功能锻炼及扶拐下地行走,减少关节僵硬发生率;
6、髓内钉内固定术符合生物固定(BO)原理,切口小,对软组织的影响小,降低了术中失血量及术后感染率,体现了微创原则,具有广阔的推广应用前景。(外一科 饶海军)

手术前

手术后
- 上一篇:螺旋CT三维重建技术的优点
- 下一篇:新生儿听力筛查——聋儿的福音

